Мечтаете о ровных зубах, но мысль об использовании брекет-системы вас останавливает? Или состояние эмали и дёсен не позволяет их использовать? Существует современная и эстетичная альтернатива — исправление прикуса капами (элайнерами).
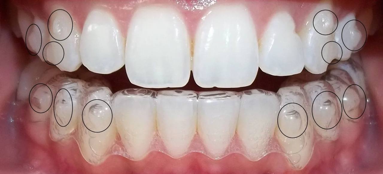
В клинике «Активлайн» мы успешно применяем съёмные элайнеры для комфортного и незаметного ортодонтического лечения. Этот метод идеально подходит, когда брекет-система нежелательна, но необходимо устранить патологию прикуса, которая сама может травмировать зубы и дёсны из-за неправильной нагрузки.
Преимущества лечения элайнерами:
✔️ Высокая эстетика: прозрачные капы абсолютно незаметны на зубах.
✔️ Комфорт: отсутствие металлических элементов, травмирующих слизистую.
✔️ Съёмная конструкция, облегчающая гигиену и приём пищи.
✔️Точность и предсказуемость, благодаря современным цифровым технологиям.
Как проходит лечение?
Всё начинается с цифрового 3D-планирования. После сканирования челюстей врач-ортодонт создаёт виртуальную модель вашего будущего прикуса. Вы увидите поэтапный план и финальный результат ещё до начала исправления прикуса капами. Затем изготавливается индивидуальный набор элайнеров, каждый из которых постепенно и точно перемещает зубы к идеальному положению.
Подарите себе уверенную улыбку с комфортом!
📍Адрес: Санкт‑Петербург, Гаврская улица, 15
📞 Телефон для записи: +7 (921) 995-33-95
В клинике «Активлайн» мы успешно применяем съёмные элайнеры для комфортного и незаметного ортодонтического лечения. Этот метод идеально подходит, когда брекет-система нежелательна, но необходимо устранить патологию прикуса, которая сама может травмировать зубы и дёсны из-за неправильной нагрузки.
Преимущества лечения элайнерами:
✔️ Высокая эстетика: прозрачные капы абсолютно незаметны на зубах.
✔️ Комфорт: отсутствие металлических элементов, травмирующих слизистую.
✔️ Съёмная конструкция, облегчающая гигиену и приём пищи.
✔️Точность и предсказуемость, благодаря современным цифровым технологиям.
Как проходит лечение?
Всё начинается с цифрового 3D-планирования. После сканирования челюстей врач-ортодонт создаёт виртуальную модель вашего будущего прикуса. Вы увидите поэтапный план и финальный результат ещё до начала исправления прикуса капами. Затем изготавливается индивидуальный набор элайнеров, каждый из которых постепенно и точно перемещает зубы к идеальному положению.
Подарите себе уверенную улыбку с комфортом!
📍Адрес: Санкт‑Петербург, Гаврская улица, 15
📞 Телефон для записи: +7 (921) 995-33-95