Мечтаете о безупречной улыбке, которая будет радовать вас долгие годы? Клиника «Активлайн» предлагает современное решение — виниры по технологии E‑max. Это не просто эстетическая коррекция, а способ обрести уверенность в себе, сохранив здоровье зубов.
Почему виниры E‑max заслуживают вашего внимания?
Мы ценим естественность и долговечность — именно эти принципы лежат в основе технологии E‑max. Рассмотрим ключевые преимущества:
✔️ Совершенная эстетика. Виниры точно воспроизводят природную прозрачность и оттенок зубной эмали. Результат выглядит естественно: ваша улыбка остаётся вашей, только более совершенной.
✔️ Исключительная прочность. Материал E‑max демонстрирует впечатляющую износостойкость. Виниры сохраняют первоначальный вид десятилетиями — без сколов, трещин и потери блеска при правильном уходе.
✔️ Бережный подход. Мы минимизируем обработку зуба: сохраняется максимум здоровых тканей, а результат превосходит ожидания.
✔️ Индивидуальный подход. Каждый винир создаётся с учётом особенностей вашей улыбки. Мы учитываем форму, цвет и анатомические нюансы, чтобы достичь гармоничного результата.
Как мы работаем?
На первой консультации врач:
- проведёт детальный осмотр;
- обсудит ваши пожелания;
- составит персональный план лечения.
- сделает фотоанализ зубов и улыбки
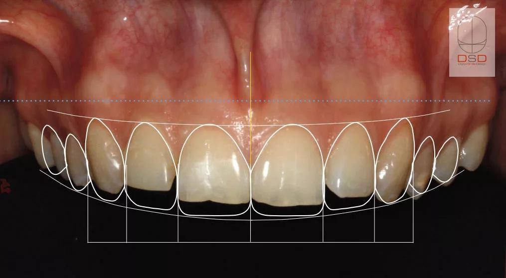
На следующем приёме макимально щадящим способом доктор проведёт обработку эмали зубов и получит оттиски для изготовления виниров. При этом произойдёт «преображение» ваших зубов. DDS или digital smile designe, улучшение формы и цвета зубов и линии арки улыбки.
Затем следует этап подготовки и изготовления виниров — каждый этап выполняется с максимальной точностью и вниманием к деталям. Финальная установка завершает преображение, даря вам улыбку, которой вы будете гордиться.
Не откладывайте заботу о своей улыбке. Запишитесь на консультацию в «Активлайн».
Ваша идеальная улыбка — это инвестиция в уверенность и качество жизни. Мы поможем сделать её реальностью!
📍 Санкт‑Петербург, Гаврская улица, 15
📞 Телефон для записи: +7 (921) 995‑33‑95
Почему виниры E‑max заслуживают вашего внимания?
Мы ценим естественность и долговечность — именно эти принципы лежат в основе технологии E‑max. Рассмотрим ключевые преимущества:
✔️ Совершенная эстетика. Виниры точно воспроизводят природную прозрачность и оттенок зубной эмали. Результат выглядит естественно: ваша улыбка остаётся вашей, только более совершенной.
✔️ Исключительная прочность. Материал E‑max демонстрирует впечатляющую износостойкость. Виниры сохраняют первоначальный вид десятилетиями — без сколов, трещин и потери блеска при правильном уходе.
✔️ Бережный подход. Мы минимизируем обработку зуба: сохраняется максимум здоровых тканей, а результат превосходит ожидания.
✔️ Индивидуальный подход. Каждый винир создаётся с учётом особенностей вашей улыбки. Мы учитываем форму, цвет и анатомические нюансы, чтобы достичь гармоничного результата.
Как мы работаем?
На первой консультации врач:
- проведёт детальный осмотр;
- обсудит ваши пожелания;
- составит персональный план лечения.
- сделает фотоанализ зубов и улыбки
На следующем приёме макимально щадящим способом доктор проведёт обработку эмали зубов и получит оттиски для изготовления виниров. При этом произойдёт «преображение» ваших зубов. DDS или digital smile designe, улучшение формы и цвета зубов и линии арки улыбки.
Затем следует этап подготовки и изготовления виниров — каждый этап выполняется с максимальной точностью и вниманием к деталям. Финальная установка завершает преображение, даря вам улыбку, которой вы будете гордиться.
Не откладывайте заботу о своей улыбке. Запишитесь на консультацию в «Активлайн».
Ваша идеальная улыбка — это инвестиция в уверенность и качество жизни. Мы поможем сделать её реальностью!
📍 Санкт‑Петербург, Гаврская улица, 15
📞 Телефон для записи: +7 (921) 995‑33‑95